슬개골 탈구 증상 6가지 및 사람 슬개골 탈구 수술 재활 영상 Tip
슬개골 탈구는 무릎 관절에서 슬개골이 자리를 이탈하는 부상으로, 이는 종종 극도의 통증과 불편함을 초래하며, 일상 생활에 상당한 지장을 줄 수 있습니다. 이는 스포츠 활동 중 또는 심한 사고로 발생할 수 있습니다. 이에 슬개골 탈구의 주요 증상 6가지를 자세히 알아보고, 슬개골 탈구 수술 및 재활에 대한 내용과 영상을 살펴보겠습니다.


슬개골 탈구 증상 6가지
통증
슬개골 탈구는 꽤나 심한 통증을 일으킬 수 있습니다. 통증은 주로 무릎 뒷부분에 집중되며, 특히 무릎을 구부리거나 펴는 동작을 시도할 때 더욱 심해질 수 있습니다. 이러한 통증은 앉았다 일어나거나 계단을 오르내리는 것처럼 무릎에 부담이 가는 활동을 할 때 특히 두드러질 수 있습니다.
부종
슬개골 탈구는 무릎 주변의 조직이 부어 오르도록 만들 수 있습니다. 이 부종은 슬개골 탈구 직후부터 몇 시간 이내에 나타나며, 탈구 부위 뿐만 아니라 무릎 전체를 포함하여 그 주변까지 영향을 미칠 수 있습니다. 부종은 통증과 더불어 움직임을 제한하며, 때로는 무릎이 '팽창한' 느낌을 줄 수도 있습니다.
제한된 움직임
슬개골 탈구는 무릎의 움직임을 심각하게 제한할 수 있습니다. 통증과 부종으로 인해 무릎을 구부리거나 펴는 것이 어려울 수 있으며, 완전히 직립하는 것조차 불가능할 수 있습니다. 일부 경우에서는 무릎의 움직임이 완전히 차단될 수도 있습니다.
불안정성
슬개골 탈구는 무릎이 불안정하게 느껴지게 만듭니다. 이는 특히 무릎에 무게를 실을 때 또는 균형을 잡을 때 느껴질 수 있습니다. 예를 들어, 일어서거나 앉을 때, 걷거나 달릴 때, 또는 계단을 오르내리거나 언덕을 걸을 때 불안정성을 느낄 수 있습니다.
덜컹 또는 탁 소리 발생
슬개골 탈구는 종종 덜컹 또는 탁 소리와 함께 발생합니다. 이 소리는 슬개골이 원래의 위치에서 벗어나는 순간에 발생하는데, 이는 슬개골과 그 주변 조직 사이에 갑작스러운 공간이 생기면서 발생합니다. 이 소리는 일반적으로 사람이 직접 듣지는 못하지만, 탈구가 발생하는 순간에 '덜컹' 또는 '탁' 하는 느낌을 받을 수 있습니다.
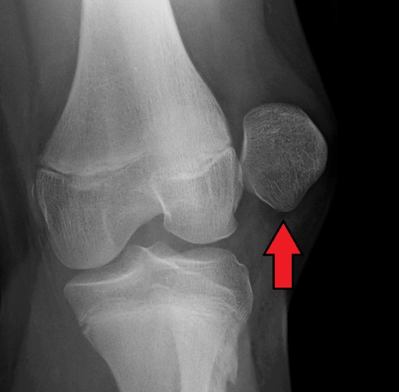
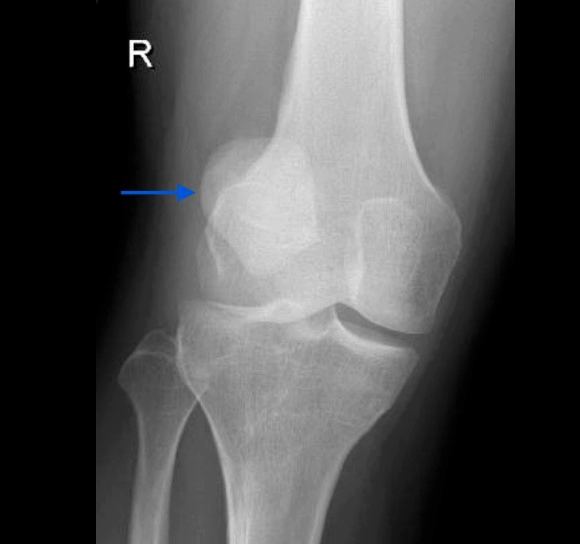
가시적인 변형
가장 심각한 슬개골 탈구의 증상 중 하나는 무릎의 가시적인 변형일 수 있습니다. 슬개골이 원래 위치에서 크게 이동한 경우, 무릎의 형태나 구조가 훼손되어 보일 수 있습니다. 이는 무릎 뒷부분이 비정상적으로 부풀어 오르거나, 무릎이 정상적인 위치보다 앞으로 또는 뒤로 늘어나 보이는 형태로 나타날 수 있습니다.



슬개골 탈구 수술 재활 영상 Tip
슬개골 탈구 수술
수술은 일반적으로 환자의 개인적인 상황, 슬개골 탈구의 심각도, 부상으로 인한 기타 손상의 유무, 환자의 전반적인 건강 상태 등을 고려합니다. 수술 방법은 여러 가지가 있으며, 이 중 일부를 아래에서 설명하겠습니다.
■ 관절경
이는 미세 카메라를 사용하여 수술 부위를 시각화하는 방법입니다. 작은 절개를 통해 무릎 내부를 볼 수 있으며, 동시에 다른 수술 도구를 사용하여 손상된 구조를 복구하거나 제거할 수 있습니다. 아트로스코피는 회복 기간이 짧고 부작용이 적은 편이라는 장점이 있습니다.
■ 슬개골 재배치
이 방법은 슬개골이 너무 멀리 이동하여 제 자리에 돌아가지 않는 경우에 사용됩니다. 수술 중에 의사는 슬개골을 원래 위치로 밀어 넣으며, 필요한 경우 인대나 힘줄을 재건할 수도 있습니다.
■ 인대 재건
슬개골 탈구는 종종 무릎의 인대를 손상시키며, 이 경우 인대를 재건해야 할 수 있습니다. 이는 자가 트랜스플란트 (환자 자신의 힘줄이나 인대를 사용) 또는 동종체 트랜스플란트 (사망한 기증자의 힘줄이나 인대를 사용) 방법을 사용하여 수행될 수 있습니다.



슬개골 탈구 재활 Tip
■ 물리 치료
슬개골 탈구 수술 후 재활의 첫 단계는 종종 물리 치료입니다. 물리 치료사는 환자에게 무릎의 움직임을 재개하는 안전한 방법을 알려주고, 무릎과 그 주변 근육의 강화를 돕습니다. 물리 치료는 보행 훈련, 근육 강화 운동, 물리 치료 기구 사용 등을 포함할 수 있습니다. 초기에는 간단한 스트레칭부터 시작해 점진적으로 강도를 높여가는 방식으로 진행됩니다.
■ 기능 재활
이 단계에서는 환자가 일상 생활에 필요한 기능을 회복하도록 돕습니다. 이는 계단을 오르내리는 방법, 안전하게 앉거나 일어서는 방법, 집안일을 수행하는 방법 등을 포함할 수 있습니다. 기능 재활은 개별 환자의 상황과 필요에 맞게 맞춤화 됩니다.
■ 운동 방법과 사후 관리
재활 과정에서 환자는 새로운 운동 방법을 배우고, 무릎을 보호하고, 재탈구를 방지하는 방법을 알게 됩니다. 예를 들어, 특정 스포츠나 활동에 대한 안전 지침, 정확한 스트레칭과 강화 운동법, 무릎 부상을 예방하는 생활습관 등의 이러한 지침은 환자가 슬개골 탈구 수술 후 건강하고 활동적인 생활을 이어갈 수 있도록 돕는 중요한 부분입니다. 또한, 환자가 이러한 지침을 따르면 재탈구의 위험을 줄일 수 있습니다.



'건강' 카테고리의 다른 글
| 인대 파열 회복기간 및 파열 인대 치료법과 회복 영양 성분 추천 (1) | 2023.06.11 |
|---|---|
| 타우린 음식 효능 10가지 및 타우린 많은 음식 추천 (1) | 2023.06.11 |
| 등 통증 부위 위치별 원인과 의심되는 병 11가지 총정리 (0) | 2023.06.10 |
| 요추 염좌 통증 원인 증상 4가지 및 요추부 염좌 회복기간 및 스트레칭 (0) | 2023.06.10 |
| 골반 비대칭 틀어짐 증상 6가지 및 골반 라인 교정 방법 영상 Tip (1) | 2023.06.10 |
| 갑상선 미분화암 증상 6가지 및 오윤아 친언니 미분화암 투병 고백 (0) | 2023.06.09 |
| 치은염 증상 8가지 및 치은염 치료방법 영양제 추천 (0) | 2023.06.09 |
| 내장지방 빼는법 운동 음식 및 내장지방 레벨 수치 총정리 (1) | 2023.06.08 |