임신 6주차 증상 완벽정리 6주차 태아 아기집 크기
임신 초기 단계는 많은 변화와 새로운 경험이 펼쳐지는 시기로, 이런 변화에 대한 이해는 임신을 더욱 풍요롭고 의미 있게 만들 수 있습니다. 이에 임신 6주차의 주요 증상과 그 주간에 태아와 아기집(자궁)이 겪는 변화를 세밀하게 정리해보았습니다.


1. 임신 6주차 증상
임신 6주차는 첫 삼개월인 임신 초기(임신 첫 번째 분기)에 속하며, 이 시기에는 다양한 변화와 증상이 나타날 수 있습니다. 아래에 임신 6주차에 나타날 수 있는 주요 증상들에 대해 설명하겠습니다.
피로감
임신 초기에는 프로게스테론 수치가 상승하므로 피로감이 늘어날 수 있습니다. 임신 첫 분기 동안 호르몬은 매우 높은 수준을 유지하며, 이로 인해 졸음이 증가하고 에너지가 감소할 수 있습니다.
가슴 통증
가슴 부위의 민감성이나 통증이 증가할 수 있습니다. 임신 초기에는 호르몬 변화로 인해 가슴이 더 크고 민감해질 수 있습니다.
위장장애
일명 '아침 메스꺼움'으로 잘 알려져 있지만, 실제로는 하루 종일 나타날 수 있는 증상입니다. 토하거나 메스꺼움을 느낄 수 있고, 특정 음식에 대한 욕구나 혐오감을 느낄 수도 있습니다.
빈뇨
임신 중에는 자주 화장실에 가게 될 수 있습니다. 이는 증가한 혈액량으로 인해 신장이 더 많은 액체를 처리하려고 하기 때문입니다. 이로 인해 방광에 압력이 가해져 더 자주 소변을 보게 됩니다.
감정 변화
임신 중에는 호르몬 수준이 변동하므로 감정 상태가 불안정해질 수 있습니다. 기분 변화, 우울감, 불안감 등의 감정 변화를 경험할 수 있습니다.
미세한 출혈 또는 피임
임신 초기에 약간의 출혈 또는 피임이 발생할 수 있습니다. 이는 자궁에 착상하는 데 따른 부작용으로, 가벼운 통증 또는 크램이 동반될 수 있습니다.
변비
임신 중에는 소화기관의 근육이 이완되어 변비가 발생할 수 있습니다. 이는 프로게스테론이 임신 중에 증가하기 때문입니다.
신체 변화
자궁이 커지면서 복부에 약간의 불편함이나 통증을 느낄 수 있습니다. 이는 '라운드 리그먼트 통증'으로 알려져 있으며, 자궁을 지탱하는 두 개의 대형 인대가 늘어나면서 발생합니다. 이는 일반적으로 잠깐 지속되며 심각한 통증은 아닙니다.
음식욕구 및 혐오
임신 초기에는 특정 음식에 대한 강한 욕구가 생기거나, 반대로 일부 음식에 대해 혐오감을 느낄 수 있습니다. 이는 호르몬 변화에 의한 것으로, 특히 프로게스테론 수치가 높아질 때 더욱 그렇습니다.
코피
임신 중에는 호르몬 변화로 인해 코 점막이 부풀어 올라 코피를 경험하게 될 수 있습니다. 이는 코가 막히거나 흐르는 느낌을 주며, 심한 경우에는 출혈까지 일어날 수 있습니다.
유방의 변화
유방이 부풀어 오르거나 민감해질 수 있습니다. 또한 장미빛이었던 유두 주위의 피부(아레올라)가 어두워질 수 있습니다. 이런 변화는 임신 초기부터 시작되며, 몸이 아기를 수유할 준비를 하는 과정입니다.
저혈압
임신 중에는 혈압이 일시적으로 떨어질 수 있습니다. 이로 인해 어지러움이나 현기증을 느낄 수 있습니다.
두통
일부 여성들은 임신 중에 두통을 경험합니다. 이는 호르몬 변화, 피로, 스트레스, 데히드레이션 등 다양한 요인 때문에 발생할 수 있습니다.
이러한 증상들은 모든 임신부에게서 동일하게 나타나는 것은 아닙니다. 개인에 따라 증상의 종류와 강도는 다르며, 일부 여성은 이 중 몇 가지 증상만 경험할 수도 있습니다. 또한 일부 여성은 6주차에 아무런 증상도 느끼지 않을 수 있습니다. 증상이 심각하거나 걱정스럽다면 반드시 의료 전문가와 상의해야 합니다.



특히 아래와 같은 증상이 나타날 경우에는 병원에 가보는 것을 추천드립니다.
■ 심한 통증
임신 초기에 약간의 통증이나 불편함이 나타날 수 있지만, 고통스럽거나 참을 수 없는 통증이 발생하면 즉시 의사에게 알려야 합니다.
■ 심한 메스꺼움 또는 구토
가벼운 아침메스꺼움은 정상적이지만, 심한 메스꺼움이나 구토는 본인이나 아기의 건강에 해를 끼칠 수 있습니다. 특히 식사를 하지 못하거나 물도 마시지 못할 정도로 심하다면 즉시 의료 도움을 청해야 합니다.
■ 출혈 또는 붉은 색의 분비물
약간의 미세한 출혈이나 피임은 정상적일 수 있지만, 이외에도 심한 출혈이나 붉은 색의 분비물이 나타날 경우, 이는 문제의 징후일 수 있으므로 즉시 의료 도움을 청해야 합니다.
■ 심한 어지러움 또는 기절
일시적인 어지러움은 일반적으로 정상적이지만, 지속적인 어지러움이나 기절은 의료 도움이 필요한 신호일 수 있습니다.
■ 고열
임신 중에 고열이 발생하면 이는 감염이나 다른 문제의 징후일 수 있으므로, 즉시 의료 전문가에게 알려야 합니다. 6주차 임신은 여러 가지 변화와 증상을 동반하며, 이는 주로 체내의 호르몬 수준 변화와 아기의 성장에 따른 것입니다. 그러나 임신은 개인마다 다르므로, 궁금한 사항이나 걱정 사항이 있으면 항상 의료 전문가와 상의하는 것이 가장 좋습니다.



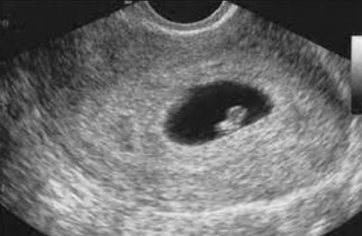
2. 임신 6주차 태아크기 아기집 초음파 정보
임신 6주차에는 태아와 아기집(자궁) 모두 중요한 변화와 성장을 겪습니다. 이에 대해 자세히 설명하겠습니다.
태아의 크기
임신 6주차에는 태아가 매우 빠르게 성장합니다. 이 시점에서 태아는 약 46mm(0.160.24인치) 정도의 크기로, 작은 렌즈콩 정도의 크기에 해당합니다. 이 단계에서 태아는 '배아'에서 '태아'로 분류가 변경되며, 이는 인체의 주요 기관이 형성되기 시작하기 때문입니다.
태아의 발달
이 시점에서 태아의 심장은 간단한 형태로 만들어지기 시작하며, 심장 박동도 감지될 수 있습니다. 또한 뇌, 척수, 신경계, 위, 간 등의 주요 기관도 형성되기 시작합니다. 또한 극미량의 피가 순환하기 시작하며, 얼굴, 입, 귀, 코 등이 형성되기 시작합니다.
아기집(자궁)의 크기
임신 6주차에는 아직 자궁이 크게 팽창하지는 않습니다. 대체로 자궁은 피부 아래에서 손으로 느끼기 어려울 정도로 작습니다. 그러나 이 시점에서 자궁 내부의 변화는 두드러집니다. 자궁 내부에는 자궁 내막이 형성되어 태아를 보호하며, 착상 후에는 자궁 내막이 아기와 엄마를 연결하는 역할을 하는 태반으로 발달합니다.
태반과 난관
임신 6주차에는 태반이 형성되기 시작합니다. 태반은 태아에게 필요한 영양분과 산소를 제공하고, 태아의 폐가 완전히 발달할 때까지 이산화탄소와 폐기물을 제거하는 역할을 합니다. 또한, 임신 6주차에는 난관이 아기집으로부터 아기를 영양 공급을 받도록 연결됩니다.
아기집(자궁)의 변화
임신 초기에는 자궁의 근육이 두꺼워지고 이완하면서 자궁이 점차 확장되기 시작합니다. 이는 아기가 성장하면서 필요한 공간을 제공하기 위한 것입니다. 이 시기에 자궁은 평소보다 약 2배 정도 커질 수 있으며, 임신이 진행됨에 따라 계속해서 확장됩니다.
아기집(자궁)의 위치
임신 6주차에는 자궁이 아직 복부 밖으로 확장되지 않았습니다. 이 시점에서 자궁은 여전히 골반 내에 위치해 있으며, 이는 아기가 성장하면서 필요한 보호를 제공합니다.
조기 증상
자궁이 확장되면서 몸의 다른 부분에 압력이 가해져 일부 여성은 변비, 자주 소변을 보는 등의 조기 증상을 경험할 수 있습니다. 또한, 자궁과 난소 사이의 인대가 늘어나면서 가벼운 통증이나 불편함을 느낄 수도 있습니다.
초음파
임신 6주차에는 초음파를 통해 태아의 심장 박동을 확인할 수 있습니다. 초음파는 또한 태아의 위치와 성장을 확인하는 데 사용됩니다.
기억할 점은, 임신 초기에는 아기와 아기집의 성장과 발달이 매우 빠르다는 것입니다. 이 시기에는 아기의 기본적인 생리적 구조가 형성되며, 엄마의 몸도 이 변화에 적응하려고 노력합니다. 이 과정은 복잡하고 놀라울 수 있지만, 이는 자연스러운 과정이며 아기와 엄마 모두에게 필요한 변화입니다. 불안하거나 궁금한 사항이 있으면 항상 의료 전문가와 상의하는 것이 좋습니다.



'건강' 카테고리의 다른 글
| 혈압정상수치 성인 공복 나이별 정상수치 정리 (0) | 2023.05.17 |
|---|---|
| 여자 왼쪽 아랫배 통증 원인 콕콕 찌릿찌릿 의심되는병 (1) | 2023.05.16 |
| 공황장애 초기증상 및 자가진단 간단 체크리스트 11가지 (0) | 2023.05.15 |
| 백반증 초기증상 원인 치료방법 총정리 (0) | 2023.05.15 |
| 노안 백내장 수술 종류 비용 총정리 (0) | 2023.05.08 |
| 무좀 습진 구별 방법 및 무좀 피부과 비용 정리 (1) | 2023.05.08 |
| 바나바잎 먹는법 차 끓이는 방법 및 바나바 잎 성분 정리 (0) | 2023.05.06 |
| 복부 지방 빼는법 제거에 좋은 운동 및 복부 지방 태우는 음식 추천 (0) | 2023.05.02 |